Лечение зубов
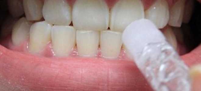
Как пользоваться гелем для отбеливания зубов
Как пользоваться гелем для отбеливания зубов Как правильно пользоваться гелем для отбеливания зубов: секреты белоснежной улыбки и обзор популярных продуктов...
Временная пломба с лекарством
Временная пломба с лекарством Временная пломба Временную пломбу устанавливают на срок до месяца на начальных этапах лечения глубокого кариеса, пульпита,...
Как успокоить зубную боль в домашних условиях
Как успокоить зубную боль в домашних условиях Как успокоить зубную боль в домашних условиях Зубная боль может проявиться в любой...
Как выглядят виниры на зубах
Как выглядят виниры на зубах Виниры на зубы: плюсы и минусы Образ успешного и уверенного в себе человека невозможен без...
Зубы после серебрения
Зубы после серебрения Серебрение зубов у детей Можно ли вылечить детский кариес без бормашины Кариес – одно из первых заболеваний...
Adblock
detector
Для любых предложений по сайту: vip-stomat@cp9.ru